T: 94 412 48 12
Menú
Experiencia
Cómo trabajamos
Tratamientos
- Implantes dentales
- Estética dental
- Restauraciones
- Ortodoncia
- Periodoncia
Tecnología
Contacto
Experiencia
Cómo trabajamos
Tratamientos
Implantes dentales
Estética dental
Restauraciones
Ortodoncia
Periodoncia
Tecnología
Contacto
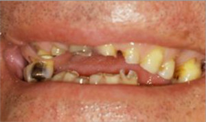
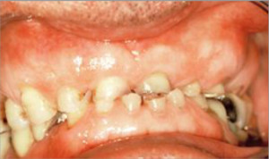
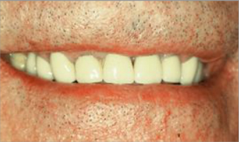
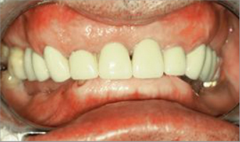
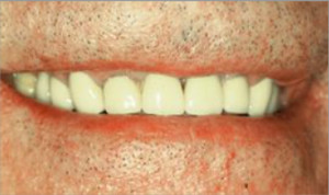
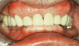
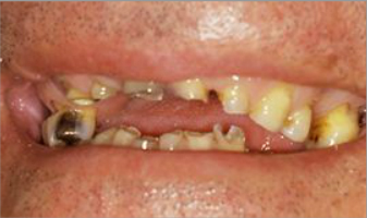
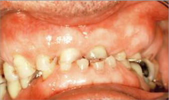
Rehabilitación completa con fundas de porcelana
Restauraciones
Fundas de porcelana
Rehabilitación completa con fundas de metal-porcelana
Rehabilitación completa con fundas de porcelana