T: 94 412 48 12
Menú
Experiencia
Cómo trabajamos
Tratamientos
- Implantes dentales
- Estética dental
- Restauraciones
- Ortodoncia
- Periodoncia
Tecnología
Contacto
Experiencia
Cómo trabajamos
Tratamientos
Implantes dentales
Estética dental
Restauraciones
Ortodoncia
Periodoncia
Tecnología
Contacto
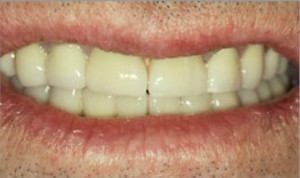
Rehabilitación completa con fundas de metal-porcelana
Restauraciones
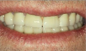
Fundas de porcelana
Rehabilitación completa con fundas de metal-porcelana
Rehabilitación completa con fundas de porcelana