T: 94 412 48 12
Menú
Experiencia
Cómo trabajamos
Tratamientos
- Implantes dentales
- Estética dental
- Restauraciones
- Ortodoncia
- Periodoncia
Tecnología
Contacto
Experiencia
Cómo trabajamos
Tratamientos
Implantes dentales
Estética dental
Restauraciones
Ortodoncia
Periodoncia
Tecnología
Contacto
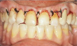
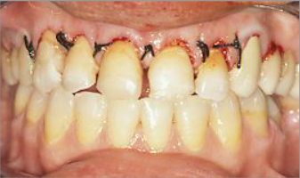
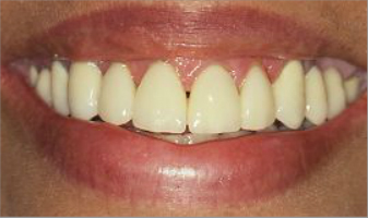
Rehabilitación completa, fundas de porcelana y tratamiento periodontal
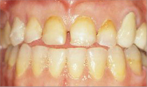
Estética dental
Carnillas estéticas de composite
Blanqueamiento interno
Rehabilitación completa, fundas de porcelana y tratamiento periodontal
Joya dental