T: 94 412 48 12
Menú
Experiencia
Cómo trabajamos
Tratamientos
- Implantes dentales
- Estética dental
- Restauraciones
- Ortodoncia
- Periodoncia
Tecnología
Contacto
Experiencia
Cómo trabajamos
Tratamientos
Implantes dentales
Estética dental
Restauraciones
Ortodoncia
Periodoncia
Tecnología
Contacto
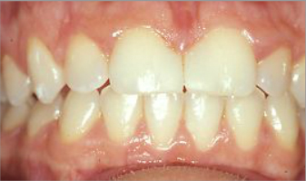
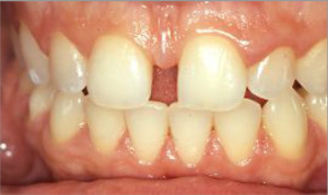
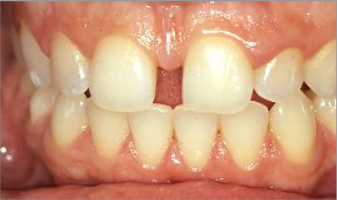
Carnillas estéticas de composite
Estética dental
Carnillas estéticas de composite
Blanqueamiento interno
Rehabilitación completa, fundas de porcelana y tratamiento periodontal
Joya dental