T: 94 412 48 12
Menú
Experiencia
Cómo trabajamos
Tratamientos
- Implantes dentales
- Estética dental
- Restauraciones
- Ortodoncia
- Periodoncia
Tecnología
Contacto
Experiencia
Cómo trabajamos
Tratamientos
Implantes dentales
Estética dental
Restauraciones
Ortodoncia
Periodoncia
Tecnología
Contacto
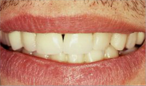
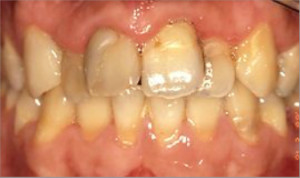
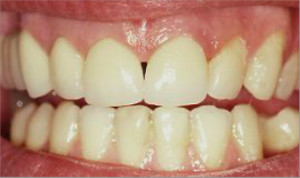
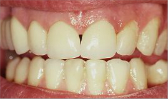
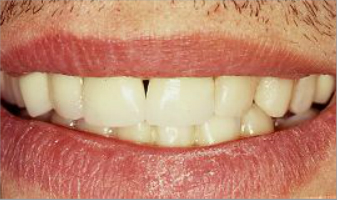
Ortodoncia y rehabilitaciones estéticas
Implantes dentales
Rehabilitacón completa sobre implantes
Rehabilitación unitaria sobre implante
Rehabilitación sobre dos implantes