T: 94 412 48 12
Menú
Experiencia
Cómo trabajamos
Tratamientos
- Implantes dentales
- Estética dental
- Restauraciones
- Ortodoncia
- Periodoncia
Tecnología
Contacto
Experiencia
Cómo trabajamos
Tratamientos
Implantes dentales
Estética dental
Restauraciones
Ortodoncia
Periodoncia
Tecnología
Contacto
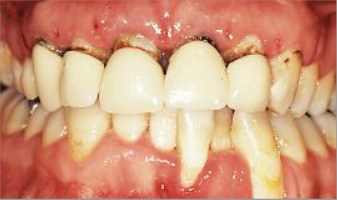
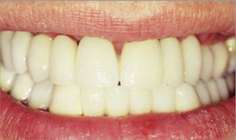
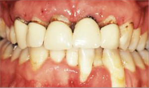
Rehabilitacón completa sobre implantes
Implantes dentales
Rehabilitacón completa sobre implantes
Rehabilitación unitaria sobre implante
Rehabilitación sobre dos implantes