Periimplantitis; etiología clínica y tratamiento. Revisión de la literatura
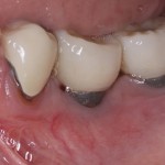
Con la introducción de los implantes en la práctica odontológica habitual, ha aparecido una nueva patología inflamatoria confinada a los tejidos de soporte peri-implantarios: la periimplantitis, que puede llevar al fracaso de los implantes en función. El propósito de est... Leer más



